Leslie House, 50 St Cuthbert's Street, Kirkcudbright. DG6 4DZ - view map »
OPENING HOURS
Mon-Thurs 8.00 - 17.00, Fri 9.00 - 16.00
01557 330 229

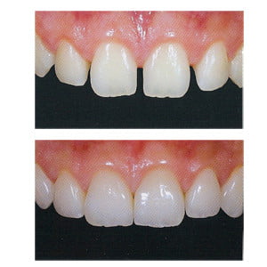
Veneers (2)